Dr Nizar Ishaq

Invisible Treatment. Visible Confidence.

Meet Dr. Nizar Isaaq, an award-winning Invisalign Apex Provider and #1 Invisalign doctor in the UAE with more than 2,000+ smiles using invisalign therapy.

Graduated from Nanats University in France and backed by 25+ years of expertise, he's wildly know solving mild, moderate, and complex cases with precision delivering confident results and proper care.

+25 Years Experience

Dr Nizar Ishaq

Invisible Treatment. Visible Confidence.

Meet Dr. Nizar Isaaq, an award-winning Invisalign Apex Provider and #1 Invisalign doctor in the UAE with more than 2,000+ smiles using invisalign therapy.

Graduated from Nanats University in France and backed by 25+ years of expertise, he's wildly know solving mild, moderate, and complex cases with precision delivering confident results and proper care.

Scroll

No Wires

No brackets

No interruption of life

No Wires

No brackets

No interruption of life

Under the care of Dr. Nizar Ishaq, Invisalign treatment is redefined with precision, comfort, and natural-looking results. From your first consultation to your final smile, every step is designed to blend seamlessly with your lifestyle—discreet, effective, and life-changing. DISCOVER YOUR NEW SMILE YOUR CONFIDENT SMILE JOURNEY YOUR CONFIDENT SMILE JOURNEY Under the care of Dr. Nizar Ishaq, Invisalign treatment is redefined with precision, comfort, and natural-looking results. From your first consultation to your final smile, every step is designed to blend seamlessly with your lifestyle—discreet, effective, and life-changing.

Explore Our Services

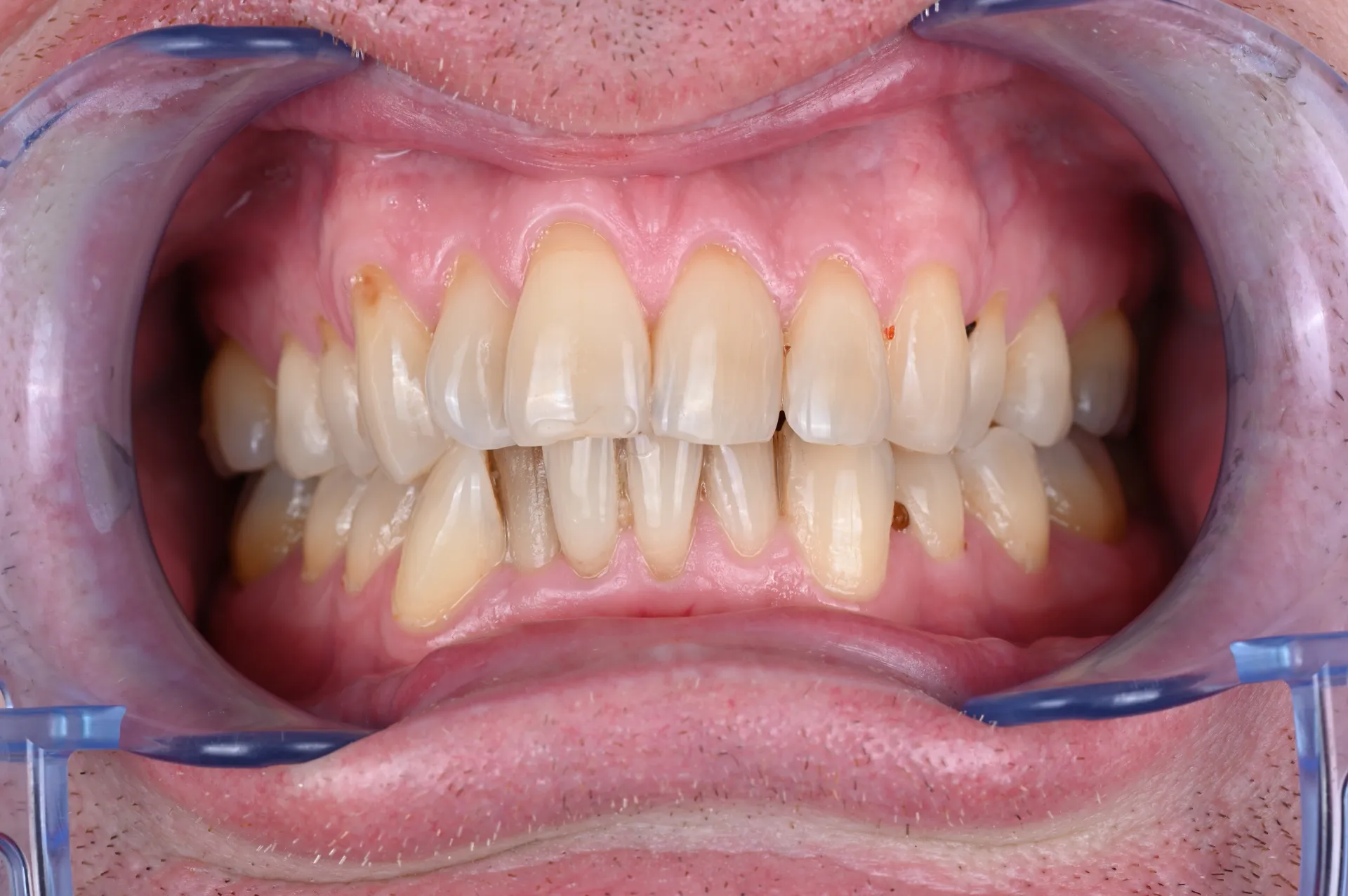
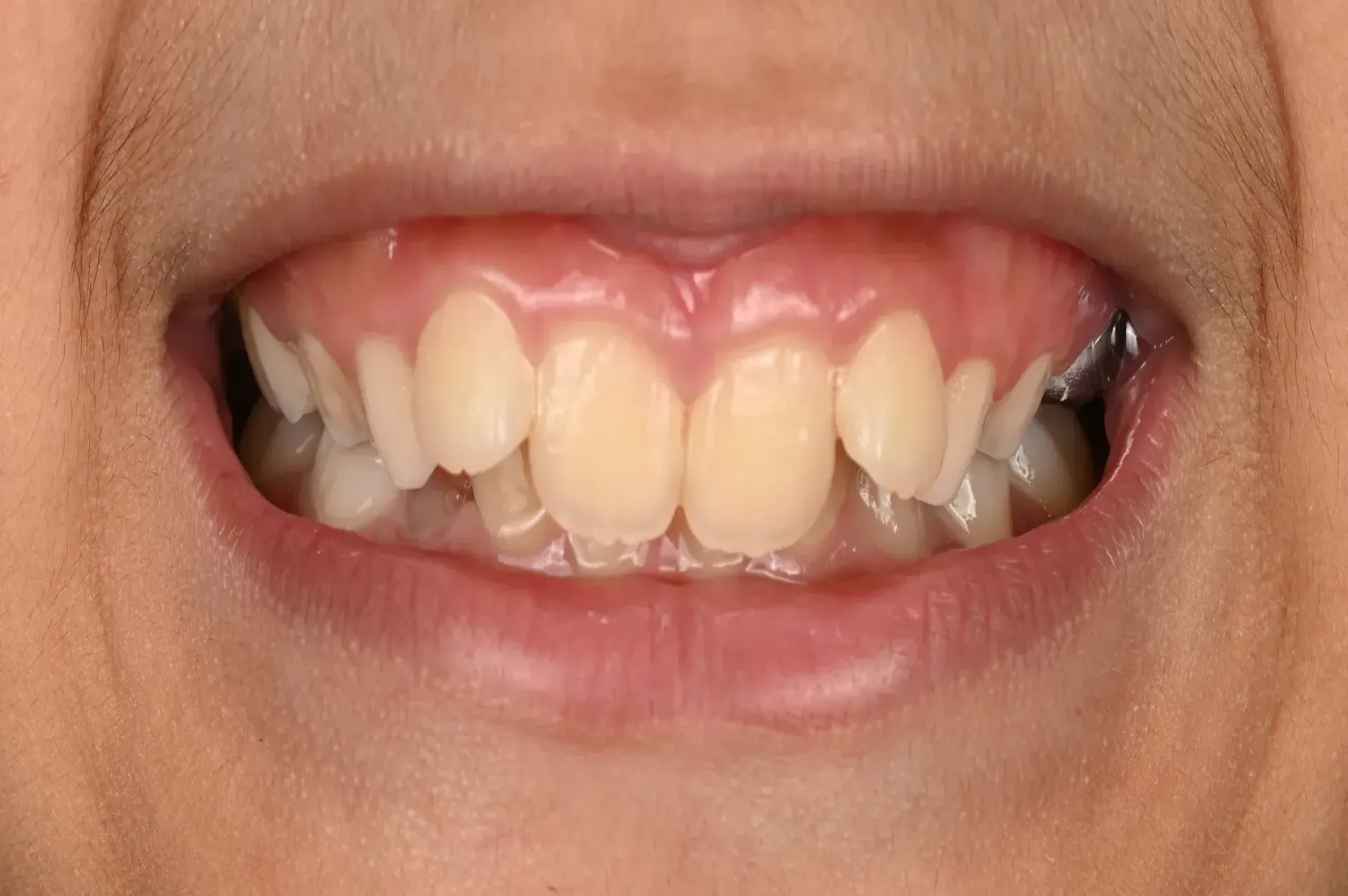
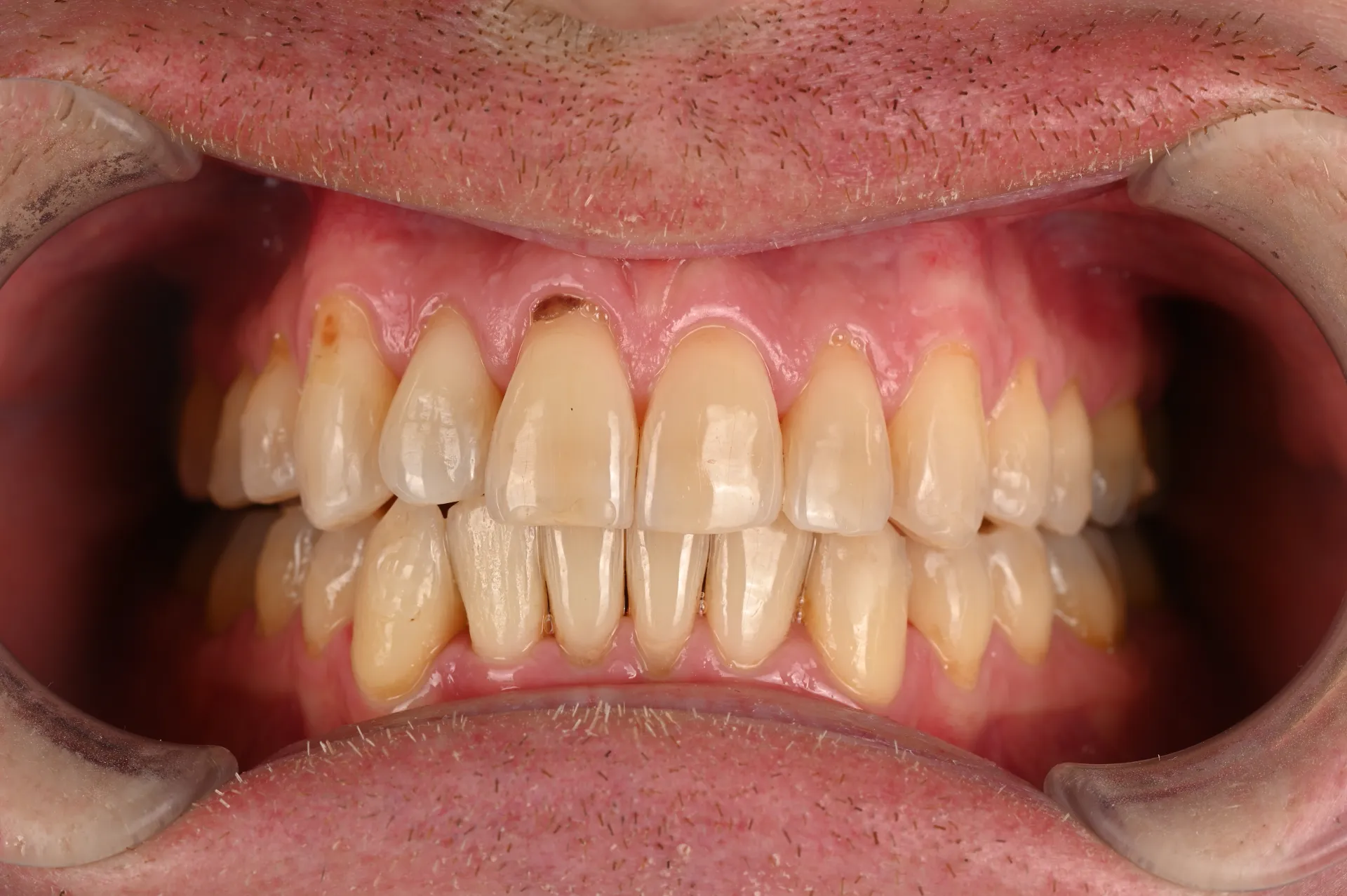
Before & After Invisalign

Dr. Nizar Ishaq has helped patients achieve straighter, healthier, and more confident smiles with this advanced clear aligner system. Explore real before-and-after results that highlight the power of modern orthodontics—discreet, comfortable, and effective.

After
Before
After
Before
After
Before

our happy patients

Smiles of the Stars with Dr Nizar Ishaq

What We’ve Achieved

Years of Experience
0 +
Happy Patients
0 K
invisalign cases
0 +
Smiles Transformed
0 +
Locations Served
0 +
Advanced Techniques
0 +
Innovative Treatments
0 +
Professional Recognition
0 +

Behind the Smiles:
Dr Nizar Ishaq’s Social Moments

Start Your Invisalign Journey Today

Take the first step toward a straighter, more confident smile with Invisalign. Schedule your consultation with Dr Nizar Ishaq to receive a personalized treatment plan designed around your goals, comfort, and lifestyle.

Book Your Consultation

Your smile says a lot — how do you feel about it? This quick quiz helps us understand your smile, your goals, and whether Invisalign could be the right fit for you.

✔ Takes less than 2 minutes
✔ Private & personalised
✔ Designed by an orthodontic doctor

Scroll to Top